• Home
  • About
  • OUR DOCTOR
  • consultation
  • Fix Appointment
  • Gallery
  • contact
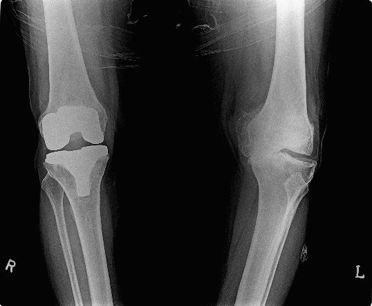
JOIN REPLACEMENT

knee replacement




Knee replacement surgery (arthroplasty) is a routine operation that involves replacing a damaged, worn or diseased knee with an artificial joint.

Adults of any age can be considered for a knee replacement, although most are carried out on people between the ages of 60 and 80. More people are now receiving this operation at a younger age. A replacement knee usually lasts over 20 years, especially if the new knee is cared for properly and not put under too much strain. When a knee replacement is needed

Knee replacement surgery is usually necessary when the knee joint is worn or damaged to the extent that your mobility is reduced and you experience pain even while resting.

You can be make to walk or you can work with walker on second day after surgery . After one week you can walk normally without any support.

hip replacement




Hip replacement surgery is a procedure in which a doctor surgically removes a painful hip joint with arthritis and replaces it with an artificial joint often made from metal and plastic components. It usually is done when all other treatment options have failed to provide adequate pain relief. The procedure should relieve a painful hip joint, making walking easier.

Hip replacement surgery can be performed traditionally or by using what is considered a minimally-invasive technique. The main difference between the two procedures is the size of the incision.

After Third weeks you can walk normally without any support.